3중 센트레이션 클리닉

동공중심과 시축의 오차를 고려하여
수술의 정확도↑ 시력의 질↑
센트레이션 기술을 국내에 최초로 발표

장비 시스템의 한계 보완

스마일라식 전 환자의 동공중심과 시축의 오차를 고려하여
수술의 정확도와 시력의 질을 높이고 빛 번짐, 눈부심, 복시,
시력저하를 예방할 수 있는 최초의 센트레이션 기술을
국내에 가장 먼저 알렸습니다.
(2014 아시아·태평양 굴절 레이저 수술 학회 발표)

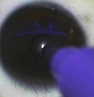
Marking
Pen
센트레이션
마킹

Pre-
Docking
레이저
중심 맞춤

Main-
Doking
중심 맞춰
레이저 조사

데이터를 토대로 검증한
3중센트레이션

우리의 눈은 두 개이기 때문에 물체를 봤을 때
그 상이 동공중심에 맺히는 것이 아닌,
시축을 중심으로 맺히게 됩니다.
온누리스마일에서는 이를 고려해
시력교정 시 시축을 중심으로 수술합니다.